[NB] JE NE RÉPONDS PLUS AUX QUESTIONS À PROPOS DE CETTE CURE : ACHETEZ, LISEZ ET APPLIQUEZ CE QUI EST DIT DANS LES LIVRES D'ANDREAS MORITZ. Merci
Je viens de faire une deuxième cure d'Andreas Moritz : pendant 7 jours, le foie et la vésicule biliaire se nettoient par les voies naturelles. C'est pour qui ? Comment ça marche ? La cure d'Andreas Moritz peut-elle nettoyer des calculs biliaires ?
Avertissement
- ne pas prendre cette cure à la légère : il y a des contre-indications (voir ci-dessous), des dates et des doses à respecter !
- lisez les livres d'Andreas Moritz : L'incroyable nettoyage du foie et de la vésicule biliaire volume 1 et volume 2, afin de répondre à toutes vos questions, d'avoir le protocole précis (dosages et horaires), d'avoir de multiples autres conseils sur l'alimentation, le nettoyage… Ça vaut largement le coup si vous voulez prendre en main votre santé et changer tout en comprenant ce qui se passe et défaire les nombreux incompris subsistant par rapport à cette cure.
- faites-vous suivre par votre médecin pour savoir où vous en êtes. S'il n'entends rien dans ce que vous lui proposez, n'hésitez pas à changer de médecin : il y a partout des médecins ouverts à une médecine plus respectueuse du corps et intégrant les effets secondaires délétères des médicaments. Il y a aussi partout des cons, qui conseillent par exemple de continuer un médicament dont l'effet secondaire indique "calculs biliaires" alors que vous en souffrez justement (véridique !).
- Vous pouvez aussi vous faire suivre par un naturopathe compétent, avec lequel ou laquelle vous ferez un bout de chemin, à la recherche d'une meilleure santé et d'un arrêt / diminution de votre médication qu'on vous a prescrite à vie (business is business).
Vous avez des calculs biliaires ou une maladie chronique "incurable-on-peut-rien-faire-pour-vous"
La cure d'Andreas Moritz expulse vos calculs biliaires par les voies naturelles
Nous avons tous.tes des calculs dans la vésicule biliaire ET le foie. Qu'est-ce qui est calcul ou qui ne l'est pas ? Un calcul n'est pas forcément calcifié (et donc visible en radio/écho-graphie), dur et gros : ce peut être juste des petites billes de quelques millimètres (sable) un peu molles, mais qui ne se dissolvent pas et gênent l'écoulement ou la mise en réserve de la bile. Ces calculs biliaires sont toujours intéressant à évacuer, même si ils ne sont pas calcifiés (et donc visibles à l'écho/radio-graphie) ou dit "pathologiques", c'est-à-dire douloureux.
La cure d'Andreas Moritz traite partiellement ou totalement toutes maladies chroniques
En éliminant ces calculs biliaires toxiques (dans la vésicule ET le foie, lors d'une première cure, puis, comme préconisé, lors des cures suivantes, tous les mois, jusqu'à deux cures successives sans élimination de calculs dans les selles), vous allez aussi détoxifier votre foie et expulser définitivement des toxines accumulées depuis des lustres (les calculs biliaires causent souvent des pathologies après l'âge de 60 ans). Votre foie et votre vésicule biliaire fonctionnent donc mieux et sont frais et dispo. pour traiter les causes d'autres symptômes. Votre pancréas, tout proche de la vésicule, et dont le canal se jette pas loin de celui de la vésicule biliaire, fonctionne également mieux.
La cure de nettoyage du foie et de la vésicule biliaire (ainsi que des mesures hygiéniques : manger mieux et bouger suffisamment) pourrait être prescrite pour toute pathologie chronique, et avant même l'instauration de n'importe quel traitement à vie. Si on vous prescrit un traitement à vie, c'est un constat d'échec de la médecine du médicament : elle est incapable de vous guérir. Il est donc tout à fait normal et bénéfique de se tourner vers des médecines dites alternatives comme la naturopathie. What else ?
La cure d'Andreas Moritz est donc tout aussi indiquée pour le traitement de très nombreuses maladies chroniques tels que :
- troubles digestifs : digestions difficiles (notamment des graisses = selles qui flottent), diarrhée, constipation, envie incontrôlable de certains aliments, hémorroïdes, hépatite, hyper-cholestérolémie, pancréatite, ulcère, vomissement, langue chargée…
- obésité
- hernie
- difficultés respiratoires
- maladies cardiaques
- trouble du cerveau, dépression, maladie de la prostate, maux de tête, problème de dent et gencive,
- fatigue chronique, perte tonus musculaire, cernes, teint brouillé
- trouble articulaires : goutte, épaules et cou raides, douleur articulaires, scoliose, problèmes hormonaux, ostéoporose
- peau : problème de peau, tache pigmentaire (visage, mains), perte de cheveux, cheveux très gras. Les problèmes de peau reflètent quasi-systématiquement la présence de toxines/allergènes dans notre sang, parfois en lien avec l'ingestion de trop de gluten / lait.
- cancer
- …
La cure d'Andreas Moritz : une alternative à l'ablation de la vésicule biliaire pour cause de lithiases biliaires
"L'ablation chirurgicale est la seule solution"… connue de certains médecins. Heureusement, il y a les autres…
Lors d'une deuxième crise de calculs biliaires ou parfois dès la première colique hépatique, on vous dit qu'il vaut mieux enlever la vésicule : "L'ablation chirurgicale est la seule solution monsieur / madame. Non, l'alimentation n'y est pour rien. Si on ne l'enlève pas, ça reviendra. Il y a un petit risque de désordre digestif après l'opération, mais très rare…"
Cette phrase est malheureusement typique dans la bouche des médecins occidentaux. Analyse… :
- la médecine occidentale est ignorante : pour elle et votre médecin, la seule solution est l'opération. Elle omet ou ne connaît pas les expulsions naturopathiques, les dissolutions, les chirurgies de retrait de calculs mais pas de la vésicule… et en général ne vous en parle pas du tout. Ce n'est pas forcément de mauvaise foi, sauf peut-être dans le cas de médecins de cliniques privées qui préféreraient financièrement vous opérer… La médecine occidentale banalise cette opération qui coute aussi chère au patient ou contribuable qu'elle rapporte aux chirurgiens…
- la médecine occidentale est ignorante (bis) : pour elle, il n'y a aucun lien avec le foie, d'où proviennent pourtant la bile et les calculs, aucun lien avec l'alimentation (alors que les facteurs de risque sont sans équivoque). La médecine occidentale dit "c'est la faute à la vésicule biliaire !". Mais sans expliquer pourquoi ni comment, comme si c'était tout à fait normal d'avoir des calculs biliaires passé 60 ans… Eh bien non !
- la médecine et les laboratoires pharmaceutiques jouent sur la peur et sont divinatoires tout en ignorant la nutrithérapie : "si on n'enlève pas la vésicule ça reviendra". Ah, la science est devenu divinatoire alors même qu'elle ne croit pas en la clairvoyance ? Comme elle ne connaît que l'ablation chirurgicale pour régler ce problème de calculs, elle ignore qu'un régime simple peut diminuer les récidives. Et puis quoi ? Même si ça revenait, on fait une cure d'expulsion et puis voilà !
- la médecine occidentale minimise le rôle de la vésicule biliaire et les risques d'une ablation : la vésicule biliaire se remplit de bile (qui s'y concentre et y est modifiée), qui est expulsée lors d'un repas comportant des graisses : il y a alors digestion facilitée des graisses. La bile contient aussi des toxines qui peuvent se mêler au cholestérol si l'expulsion est entravée pour former des calculs biliaires. Dans le cas d'une ablation chirurgicale de la vésicule biliaire, la digestion des graisses se fera moins bien car la bile sera expulsée en petite quantité, non concentrée ni transformée, et au fur et à mesure de sa production : lors d'un repas gras (huile, friture, charcuterie et autres viandes…), les graisses seront mal digérées, à l'origine d'un risque de diarrhées jusqu'à la fin de vos jours. Ce risque est, d'après les médecins, minimes, mais le résultat est plus que catastrophique. De toute façon, les graisses seront moins bien digérées et donc moins bien assimilées. Vous vous exposez à des carences en acides gras…
C'est pas parce qu'ils sont nombreux à avoir tort qu'ils ont raison !
Coluche
Les ablations chirurgicales par Thierry Casasnovas de l'association Régénère : trop souvent des mutilations inutiles
Vous décidez de prendre en mains votre santé
Cette chirurgie d'ablation de la vésicule biliaire ne vous plait pas et vous apprenez grâce à votre recherche internet, ou en demandant l'avis d'un autre médecin ou naturopathe, qu'il existe des alternatives à l'ablation de la vésicule biliaire lors de calculs biliaires :
- expulsion par les voies naturelles des calculs : cure d'Andreas Moritz (ou de Clarck) dont il est question ici
- lithotripsie : fragmentation des calculs par ondes de choc sonore externes
- retrait des calculs par chirurgie en laissant la vésicule en place…
- Vous décidez de faire la cure d'expulsion des calculs biliaires (voir paragraphe ci-dessous) ET en informez votre médecin : ceci est très important car d'une part il existe des contre-indications à cette cure, et d'autre part, il est important de se faire suivre et d'informer votre médecin sur ces techniques alternatives qui ne sont malheureusement pas apprises à l'école de médecine occidentale basique (contrairement aux écoles de naturopathie). Il pourra alors en faire bénéficier autrui, voire les prescrire chez les personnes à risque ou atteintes de maladies chroniques, en prévention ou en thérapie.
Il n'est pas rare que votre médecin essaie de vous décourager de faire cette cure, voire se mette en colère. Soit il vous explique exactement pourquoi cette cure n'est pas adaptée à votre cas, ce qui sous-entendrait qu'il connaît parfaitement cette cure et son fonctionnement. Soit il est juste vexé dans son ego ou dans son portefeuille. Dans tous les cas, il est souvent tout à fait possible de reporter une opération de la vésicule biliaire, le temps de lire les livres d'Andréas Moritz (vous et, s'il est de bonne foi, votre médecin), et de tester la cure en vous faisant suivre par un naturopathe.
Contre-indications à la cure d'Andreas Moritz
Bien que les risques de cette cure soit très limités, il faut repousser cette cure :
- si vous êtes en situation de colique hépatique : laisser passer les coliques et, sauf contre-indication médicale, faîtes la cure après, une fois la forme retrouvée
- si vous avez une/des maladies intestinales : occlusions, constipation, maladie de Crohn, fortes hémorroïdes, stent dans le conduit biliaire…
- si vous avez une infection aigue, un traitement médical
- si vous êtes fatigué.e : cette cure est un peu éprouvante, vous devez avoir l"énergie pour la suivre et expulser vos calculs biliaires / toxines
- si vos reins ne fonctionnent pas bien, car alors les toxines remises en circulation dans le sang et la lymphe seront mal éliminées et vous pourrez alors avoir une crise de détoxination (ce qui fait parfois dire que "ça ne marche pas, car j'ai des symptômes empirés").
- si votre vésicule est tellement remplie de calculs calcifiés qu'elle ne peut plus faire rentrer ou sortir de bile.
- si votre vésicule biliaire est complètement dysfonctionnelle, atrophiée ou éclatée
- si vous êtes allergique à un des composants de la cure, ce qui est très rare. Dans un tel cas, des composés alternatifs existent : lire le livre d'Andreas Moritz
- si vous êtes enceinte, bien que la cure n'aie pas répertorié d'effets néfaste, il est conseillé de reporter la cure 6 semaines après l'accouchement
- si vous avez subi de la chimiothérapie il y a moins de 6 à 8 mois
- dans tous les cas, discutez-en avec un médecin et/ou un naturopathe
Quand faire la cure d'Andreas Moritz ?
Outre les contre-indications citées ci-dessus, c'est mieux de faire la cure :
- au printemps (voire en automne) : c'est mieux mais pas obligatoire
- un jour proche de la nouvelle lune et hors
pleine lune - de manière à ce que le J7 (expulsion des calculs) et la nuit précédente soit un jour/nuit où vous êtes totalement disponible : le sulfate de magnésium provoque des diarrhées assez liquides, qui arrivent sans prévenir. Si J7 est un dimanche par exemple, ça veut dire que vous commencez la cure le lundi à J1.
Les étapes de la cure d'Andreas Moritz de nettoyage du foie et de la vésicule biliaire
Encore, une fois, je ne peux que trop vous conseiller d'acheter et de lire les livres d'Andreas Moritz : je n'ai pas d'action chez lui, mais je parle de vécu : j'ai fait la première cure sans les livres et je fais la deuxième après leur lecture, et c'est le jour et la nuit ! Notamment sur la précision des dosages (parce que sur internet on trouve n'importe quoi), sur la précision des horaires à respecter scrupuleusement, et sur l'importance de faire des lavements ou des hydrothérapies du colon. Vous pouvez faire n'importe quoi et jongler avec les doses et les horaires, mais alors ne faites pas de commentaires sur cette cure.
J1 à J5 : la préparation : ramollir les calculs biliaires avec de l'acide malique
Manger végétarien, chaud si possible. Manger cru est aussi possible. Essayez d'éviter tout ce qui est viande, huile, fromage…
Boire un litre de jus de pommes biologiques 100% par jour, entre les repas (2h après et arrêter 30min avant) mais pas le soir.
Ce jus de pomme peut être remplacé par :
- de l'acide malique : une cuillère à café dans 75 à 100cl d'eau à température ambiante ; notamment pour ceux atteint de diabète ou candidose
- de jus de cerise acidulée 100% et bio : 25cl suffisent ; pour ceux atteint de diabète ou candidose
Ces jus sont assez acides, et il est bon de les boire avec une paille en évitant le contact avec les dents, de se rincer la bouche régulièrement avec de l'eau, de se laver les dents comme d'habitude. Personnellement, j'ai fait ma première cure avec du jus de pomme bio sans paille, puis la deuxième avec de l'acide malique et une paille et c'est super ! Pas de sucre et pas de contact avec les dents ! Mais vous pouvez tout à fait mixer les jus entre les jours, tant que vous avez la dose d'acide malique nécessaire par jour.
J6 : matin et midi : faire le plein de bile
J6 est le jour de l'expulsion des calculs biliaires de la vésicule, vers 22h, et J7 l'expulsion des calculs biliaires de votre corps par les selles le matin.
Le sixième jour J6 :
- boire tout le jus de pomme ou l'équivalent le matin
- évitez absolument tout ce qui est
gras, sinon votre vésicule va se vider et la vésicule aura du mal à expulser des calculs : éviter donc tout ce qui est beurre, lait, noix et autres graines oléagineuses, yaourt, avocat, viennoiseries et comme pour la préparation les viandes, huiles… - évitez tout ce qui est
froid: céréales froides ou autres aliments transformés - évitez les aliments riches en protéines : viandes et assimilés, yaourt, noix, légumineuses…
- mangez léger le matin, si vous avez faim des fruits ou des céréales chaudes
- le midi léger : légumes bien cuits (vapeur ou eau) et du riz basmati blanc (de préférence) ou sarrasin ou quinoa. Vous pouvez aussi manger à la place des fruits / légumes crus à température ambiante.
Après 13H30, restez à jeûn et ne buvez que de l'eau
J6 - 18h et 20h : élargir les canaux
Préparer du sulfate de Magnésium : dissoudre 60 gr (4 cuillères à soupe) dans 75cl d'eau filtrée dans un bocal en verre. Et pas un sachet par verre comme on le voit parfois sur internet ou youtube : tu m'étonnes que c'est imbuvable après ! Et que tout le monde dénigre cette cure parfois rien que pour cela !
Si vous êtes plus léger.e que la moyenne, vous pouvez adapter les doses = diminuer d'un tiers. Si vous êtes lourd, à priori, restez aux doses normales.
- 18h : buvez 20cl du sulfate de magnésium préparé
- 20h : buvez 20cl du sulfate de magnésium préparé
Ces deux doses de sulfate de magnésium ont pour effet de détendre et élargir les canaux et voies biliaires, afin que les calculs biliaires sortent sans se coincer. C'est une étape qu'ommettent de nombreux détracteurs de cette cure. Nous ne sommes pas du tout dans le cas d'une crise de calculs biliaires où des calculs sont coincés dans les canaux non élargis et détendus, plein de spasmes, et sans bile : ici au contraire, nous avons réservés la bile de toute la nuit et journée précédente, et avons des canaux élargis et sans spasmes.
J6 - 21H30 et 22H : expulser la bile et les calculs biliaires
En général, à 21H30, vous êtes déjà allé.e à la selle une fois, sous l'impact du sulfate de magnésium. Si ce n'est pas le cas, ça peut être parce que vous avez nettoyé votre colon dans l'après-midi ou au contraire que vous ne l'avez pas fait.
21h45 : pressez des pamplemousses pour avoir 200ml environ, et ajouter 120ml d'huile d'olive. Là encore, respectez les doses. Vous pouvez en prendre 1/3 de moins si vous êtes plus léger.e que la moyenne, mais certainement pas plus ! Versez le tout dans un bocal en verre avec fermeture.
22h : Debout à côté de votre lit, prêt.e à vous allonger pour la nuit, émulsionner le mélange huile/ pamplemousse en le secouant fortement une vingtaine de fois buvez-le d'une traite. Certes c'est un peu gras mais en général ça passe très bien grâce au jus de pamplemousse.
Allongez-vous tout de suite dans le lit sur le dos avec des coussins de sorte que votre tête soit plus élevée que votre ventre, pour éviter les reflux.
Restez ainsi 20 min., en étant zen et en pensant à votre vésicule qui va évacuer les toxines et les calculs. Certaines personnes (comme mon père) sentent les calculs passer, mais sans douleur.
Ensuite vous pouvez dormir normalement, mais pas sur le ventre : sur le dos, voir éventuellement sur le coté droit.
Si vous avez envie d'aller aux WC dans la nuit, allez-y. Vous pouvez aussi retarder le jus de pamplemousse/huile d'un quart d'heure mais pas plus.
J7 : évacuer les calculs des intestins et du colôn
NB : vous pouvez retarder d'une demi-heure le programme ci-dessous, mais pas l'avancer.
- 6h : buvez un verre d'eau tiède puis buvez 20cl du sulfate de magnésium préparé. Méditez, lisez ou reposez-vous. La position verticale est conseillée mais vous pouvez aussi vous recoucher au besoin.
- 8h : buvez 20cl du sulfate de magnésium préparé
Vous allez expulser vos calculs dans les WC. Vos selles sont très liquides et diluées, et pour voir exactement ce que vous expulsez, utilisez une passoire de taille moyenne ; les calculs étant majoritairement composés de gras, ils flottent et on pourrait donc les récupérer dans le surnageant des WC, mais pour récupérer des calculs calcifiés plus lourds qui pourraient couler, utilisez la passoire.
- 10h : buvez un peu de jus de fruits frais
- 10h30h : mangez un ou deux morceaux de fruits frais
- 11h30 : mangez un repas végétarien léger en quantité et qualité. Après un jour de jeûn et cette expulsion, on peut avoir envie de manger davantage : allez-y doucement.
- le soir et les jours qui suivent : repas léger jusqu'à reprendre petit à petit les quantités normales.
J10 : nettoyer le côlon
Pour Andreas Moritz, nettoyer son côlon ± 3 jours après la purge est indispensable, notamment pour être sûr que des calculs ne se sont pas coincés dans le côlon et donc ne seront pas réabsorbés, avec toutes les toxines qu'ils contiennent.
- hydrothérapie du côlon chez un professionnel
- ou lavement éventuellement chez vous
- ou sulfate de Magnésium à jeûn le matin
Bis repetita
Andreas Moritz conseille de faire :
- une cure par mois jusqu'à ce que l'on n'expulse plus de calculs durant deux cures consécutives,
- puis une cure par an (au printemps par exemple) en prévention
Résultats
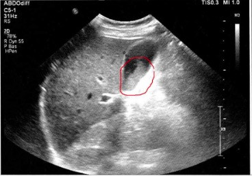
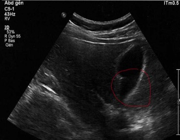
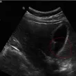
Voir les images.
Examen échographique : ci dessous, je montre 2 images d'échographie avant et après nettoyage de la vésicule biliaire, confirmant qu'il y a eu expulsion des calculs biliaires grâce à la cure d'Andreas Moritz. Ces images sont tirées des témoignages de personnes ayant pratiqué cette cure.
- Vous faîtes une échographie de contrôle juste après la cure : la vésicule ne contient plus de calculs ou en contient moins. Le médecin en profite pour vérifier la paroi de la vésicule.
Comment garder la forme et/ou éviter les calculs biliaires ?
- Vous adaptez votre alimentation pour limiter les facteurs de risque :
- manger plus souvent végétarien (= moins de produits animaux)
- si vous aviez une tendance à la constipation : fractionnez vos repas en plusieurs petits repas, buvez davantage (d'eau) entre les repas, mangez moins de glucides (céréales, sucres…) et plus de légumes et fruits (frais et bio c'est mieux)
- favoriser les aliments complets biologiques (céréales, pain…) et diminuer les
aliments raffinés(pain blanc, riz blanc, sucre blanc…) : ils ont plus de fibres et d'éléments protecteurs. Une céréale complète a encore son enveloppe et, si elle n'est pas biologique, contient davantage de pesticides que la même céréale raffinée : privilégiez le bio pour tout ce qui est complet. - suivre les recommandations ci-dessus devrait vous faire perdre du poids si vous étiez en surpoids. Allez-y doucement cependant, car vous allez sans doute éliminer davantage de lipides par la bile. Des aides à l'élimination hépatique et à la sécrétion de bile peuvent être avantageux : radis, feuilles d'artichaut etc. Voir le billet sur la détoxification du foie et de l'organisme.
- "one apple a day keeps the doctor away" : une pomme par jour garde le docteur éloigné : fibre, acide malique, vitamines (manger bio et donc avec la peau si possible)
- vous adaptez votre médication : de trop nombreux médicaments dit "anti-cholestérol" :
- non seulement ne servent à rien : il est normal pour une personnes âgée d'avoir plus de cholestérol qu'une personne jeune ; cultivez-vous : le mythe du cholestérol (vidéos etc)
- sont toxiques : la toxicité des statines est démontrée, mais aussi de tous les médicaments anti-cholestérol : lisez les effets secondaires des médicaments que vous prenez (ceci est très important) et faîtes des recherches sur le net…). Un des effet secondaire des médicaments anti-cholestérol est d'augmenter la production de calculs biliaires !
- (re)mettez vous au sport, doucement au début, en écoutant votre corps, avec des sports doux comme la natation, la marche, le vélo…
- vous faîtes, comme préconisé par Andreas Moritz, une cure par mois jusqu'à ce que vous n'expulsiez plus de calculs lors de deux cures consécutives
- puis vous faîtes, en prévention, une cure tous les 6 mois (ou tous les ans, début de printemps et/ou début d'automne), plus ou moins suivie de cures mensuelles suivant les résultats de la première cure.
- votre santé est parfaite : non seulement vous n'avez plus de calculs, ni dans la vésicule biliaire, ni dans les canaux biliaires du foie, mais en plus vous digérez mieux (fini les selles qui flottent etc.) et vos maladies chroniques se sont envolées ! Vous ne prenez donc plus aucun médicaments.
- vous en parlez autour de vous, sans pour autant l'imposer à autrui : testez la cure, c'est l'adopter !
- spécialement aux personnes souffrant de maladie cardio-vasculaires : assurez-vous de ne pas manquer de vitamine C. Consommez régulièrement de l'ail (fluidifiant). Quant au cholestérol, renseignez-vous sur le net (documentaire de la chaîne ARTE…) et changer de médecin si le vôtre ne jure que par le dosage de votre cholestérol. Si votre médecin est de la vieille école ou est borné/ignorant et ne vous justifie rien et vous prend pour une poire, allez voir une autre personne : médecin, naturopathe…
Les détracteurs
Certaines personnes ne font pas confiance en cette cure, voire disent que c'est n'importe quoi etc. :
- ce sont toujours les ignorants qui n'ont pas essayé qui critiquent. Ne faîtes confiance à personne d'autre qu'à vous-même : essayez et discutez ensuite. Mais si vous essayez, suivez le protocole à la lettre (y compris de continuer les cures mensuelles jusqu'à 2 cures consécutives sans calculs expulsés).
- Oubliez le scepticisme de celles et ceux qui n'y connaissent rien (y compris certains médecins ! ce n'est pas parce qu'ils ont un diplôme qu'ils sont bons et ouverts sur de nouvelles méthodes de traitement !) et qui n'ont pas essayé cette cure. Au fond de vous, votre envie de guérir est la plus forte, tout en gardant votre intégrité physique et donc votre vésicule biliaire. Oui, des calculs de 2 cm peuvent être expulsés par les voies naturelles, même s'ils sont calcifiés : le sulfate de magnésium dilate les canaux, l'acide malique (en poudre dilué, des pommes entières ou en jus) ramollit les calculs. Testez vous-même cette méthode, si vous n'êtes pas dans les cas de contre-indications.
- "les calculs expulsés ne sont que de l'huile d'olive saponifiée"… Alors qu'on m'explique pourquoi l'auteur préconise de faire des cures mensuelles jusqu'à ce qu'on n'expulse plus aucun calcul !? Il y a tout un chapitre sur ce thème : ch.7 vol.2.
- les calculs expulsés ne ressemblent pas à des calculs : normal ! Il ne faut pas demander que des calculs extraits par chirurgie et par les voies naturels soient identiques ! D'une part ils ont été ramollis par l'acide malique des jus de pomme et ont perdu leurs "facettes", d'autre part ils ont progressé et ont été façonné une seconde fois par le péristaltisme du tube digestif. On a donc des billes.
- une histoire de digestion : pour moi, tant qu'on fait des calculs après la cure, on digère mal les graisses, l'huile d'olive avalée. Une fois que la bile est suffisante en quantité et qualité, cela indique que le foie va mieux, qu'il n'y a pas de problème d'expulsion ou de mise en réserve de la bile (la place n'est pas prise par des calculs) et donc on ne fait plus de calculs
- la coloration des calculs : moins ils contiennent de bile, plus les calculs sont verts, ce qui m'est arrivé en fin d'expulsion. Les calculs rouges contiennent plus de bilirubine (provenant de la dégradation de l'hémoglobine des globules rouges). Lors de ma deuxième cure, j'ai mangé gras la veille et j'ai fait des calculs tout verts, parfois de plus de 2cm de long : calculs sans bile ?
En savoir plus
- Ener-chi, site officiel d'Andreas Moritz
- Pour être tranquille et arrêter de surfer sur le net concernant cette cure, procurez-vous les livres d'Andreas Moritz : L'incroyable nettoyage du foie et de la vésicule biliaire volume 1 et volume 2
- Agir-santé, assez bonne référence pour le nettoyage du foie, de la vésicule biliaire et des intestins ; de nombreux témoignages
- cholérétiques naturels

































